What is giant cell tumor of bone?
Giant cell tumor of bone is a relatively rare primary bone tumor that originates from bone marrow stromal cells and is mainly composed of proliferating mononuclear stromal cells and evenly distributed osteoclasts (multinucleated giant cells). This tumor is usually highly aggressive and can cause serious damage to bone, but it is not a malignant bone tumor in the traditional sense.
Giant cell tumors of bone are intermediate in nature between benign and malignant and are sometimes called borderline tumors. It has strong local invasiveness and can destroy surrounding bone and soft tissue, but it generally does not metastasize to long distances. Tumors grow relatively slowly, but if not treated in time, they may still pose a serious threat to the patient's health.
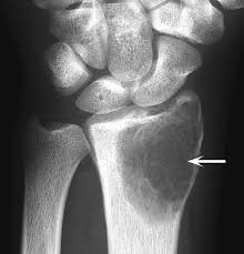
Giant cell tumors of bone commonly occur in the metaphysis and vertebral bodies of long bones, such as the lower end of the femur and the upper end of the tibia. Patients may have no obvious symptoms in the early stages of the disease, but as the disease progresses, symptoms such as pain, swelling, and limited joint movement will gradually appear. These symptoms are closely related to the growth rate and invasion range of the tumor.
The diagnosis of giant cell tumor of bone mainly relies on imaging examinations (such as X lines, CT, MRI, etc.) and pathological examinations. Imaging examination can show the size, location and extent of invasion of the tumor, while pathological examination can determine the nature and grade of the tumor.
In terms of treatment, giant cell tumor of bone mainly adopts surgical resection. The goal of surgery is to completely remove the tumor and preserve as much function as possible in the affected limb. Before and after surgery, patients may also need to receive adjuvant treatments such as radiotherapy and chemotherapy to reduce the risk of recurrence. Although giant cell tumor of bone may recur after resection, most patients can still achieve a good prognosis with standard treatment.
Because the cause of giant cell tumor of bone is not fully understood, there are currently no effective preventive measures. However, early detection and standardized treatment are crucial to improve cure rate and quality of life. Patients should maintain good living habits and mentality during recovery, and follow medical advice for regular examinations and follow-up treatments to reduce the risk of recurrence and promote physical recovery.
(Common therapeutic drugs for bone giant cell cancer include: pembrolizumab, cetuximab, nivolumab, etc. For specific drug details, please see the homepage of the website or click for consultation)
[ 免责声明 ] 本页面内容来自公开渠道(如FDA官网、Drugs官网、原研药厂官网等),仅供持有医疗专业资质的人员用于医学药学研究参考,不构成任何治疗建议或药品推荐。所涉药品可能未在中国大陆获批上市,不适用于中国境内销售和使用。如需治疗,请咨询正规医疗机构。本站不提供药品销售或代购服务。
.jpeg)